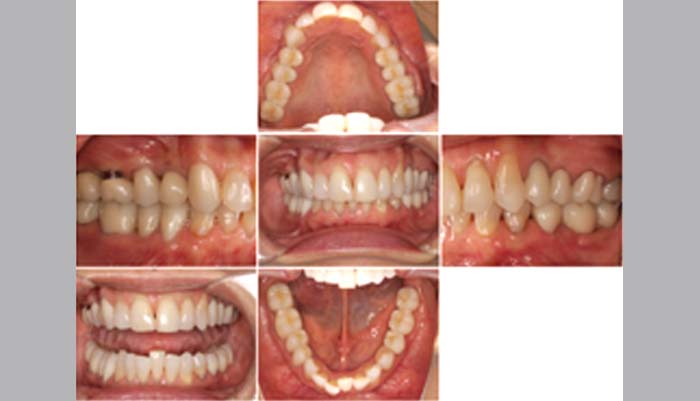
治療前
治療後
治療前
治療後
| 主訴 | 左下が噛むと痛い。全体的にしっかり治したい |
|---|---|
| 治療内容 | 抜歯、根管治療、セラミック治療、サイナスリフト、インプラント埋入手術 |
| 治療期間 | 1年6ヶ月 |
| 費用 | 約4,000,000円(税抜) ※インプラント以外の補綴を含む |
| 治療のリスク | 稀に破折する場合があります。手術後に数日間痛み・腫れを伴う可能性があります。定期的な噛み合わせの調整が必要です。 |
| 主訴 | 左下が噛むと痛い。全体的にしっかり治したい |
|---|---|
| 治療内容 | 抜歯、根管治療、セラミック治療、サイナスリフト、インプラント埋入手術 |
| 治療期間 | 1年6ヶ月 |
| 費用 | 約4,000,000円(税抜) ※インプラント以外の補綴を含む |
| 治療のリスク | 稀に破折する場合があります。手術後に数日間痛み・腫れを伴う可能性があります。定期的な噛み合わせの調整が必要です。 |